Cosmetic Surgeries
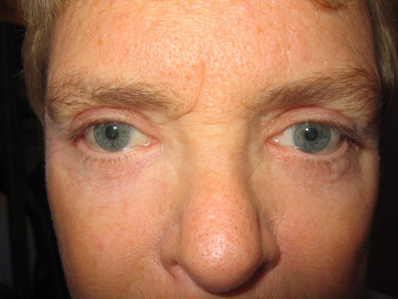
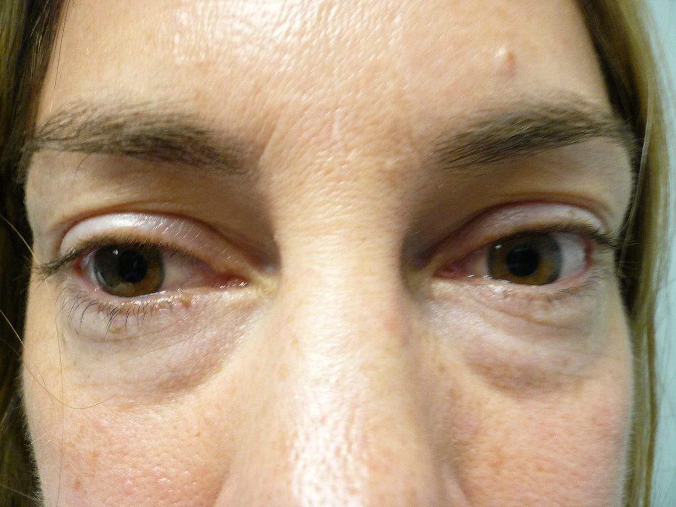
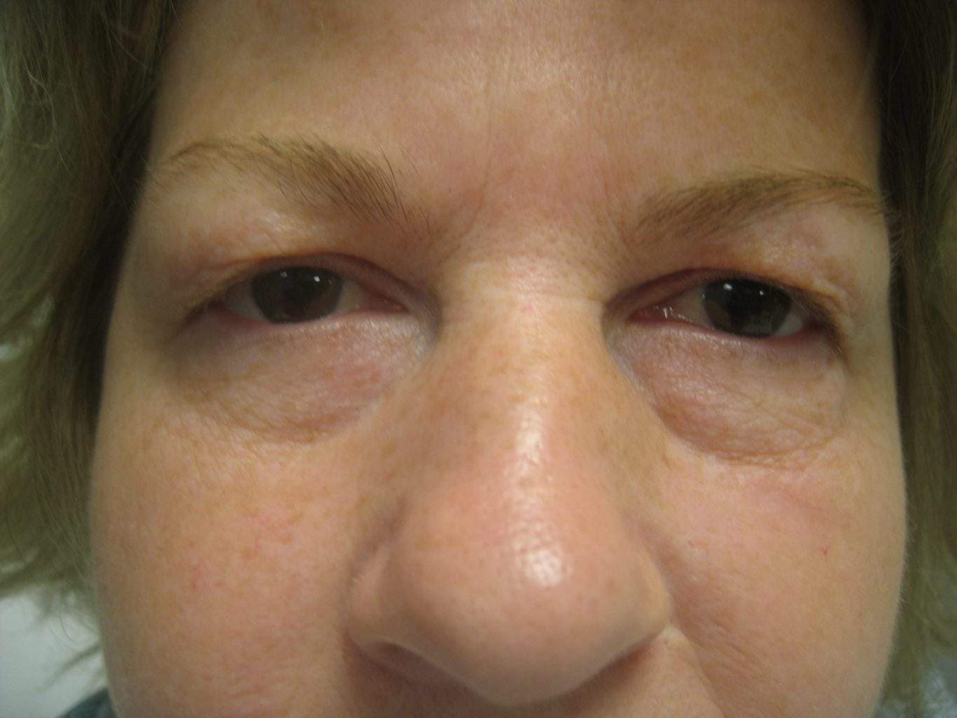
- Blepharoplasty Upper Eyelid
- Blepharoplasty Lower Eyelid
- Blepharoplasty Upper & Lower Eyelid Tightening
- Facelift ~ Rhytidectomy
- Ear Pinning ~ Otoplasty
- Breast Augmentation ~ Augmentation Mammoplasty
- Breast Lift ~ Mastopexy +/- Augmentation
- Tummy Tuck ~ Abdominoplasty ~ Mommy Make Over
- Liposuction
- Smartlipo Neck
Cosmetic Office Procedures
- COOL SCULPT ~ Zeltig Non-Invasive Body Contouring
- Botox ~ Dysport ~ Xeomin
- Restylane
- Radiesse & Juvederm Non Surgical Facelift
- Laser Vascular ~ Fine Wrinkles
- Smartlipo Neck
- Nipple Reduction
- Areolar Reduction
- Torn Ear Lobules & Ear Lobule Reduction
- Evacuation Hematoma from Ear
- Ear Piercing
Cosmetic Office Procedures
Paralytics: Botox , Dysport, Xeomin
Facial Fillers : Radiesse, Juvederm
Restyane Lip Rejuvination
Smart Lipo Neck Rejuvination
Laser Treatments : Vascular
Cosmetic Surgeries
Blepharoplasty ~ Eyelid tightening
-
Breast Augmentation
- Breast Augmentation Implants
Breast Lift
Tummy Tuck ~ Abdominoplasty
Labiaplasty
Otoplasty ~ Ear Pinning ~Prominent Ears
Liposuction
- Read about Liposuction










































































































































































































































































































